Beautiful After Breast Cancer Foundation

Preventie

De moderne geneeskunde begint meer en meer een preventieve geneeskunde te worden. Ook inzake borstkanker is hier de laatste jaren, met de ontdekking van het BRCA-gen, een shift gekomen naar preventie. Ondertussen zijn meerdere genen ontdekt alsook meerdere risicofactoren beschreven. Afhankelijk van beide kan een gepersonaliseerde screeningsstrategie gekozen worden. Het is daarom belangrijk om deze risico- en genetische factoren te begrijpen.

Diagnose

Ik kreeg de diagnose kanker... Deze website is een portaal die u en uw naasten zal helpen om persoonlijke informatie en antwoorden te vinden voor uw probleem.

Deze website moet een houvast  en steun zijn voor patiënten op weg naar herstel en een beter leven.

Het "Diagnose" gedeelte van onze website is opgesteld in twee belangrijke delen. Ten eerste zorgen we in "Anatomie en Fysiologie" voor een basiskennis van de borst. In het tweede deel "Tumoren en aandoeningen" gaan we dieper in op alles wat met aandoeningen van de borst te maken heeft.

Verder wensen wij vrouwen te informeren die zich afvragen of zij wel een borstprobleem hebben, maar daarvoor nog niet onmiddellijk hun arts willen consulteren. Kennis en informatie kunnen dikwijls een onmiddellijke geruststelling betekenen indien de vrouw zelf in staat is het probleem te onderkennen en inziet dat hier geen specifieke behandeling voor noodzakelijk is. Anderzijds trachten we ook vrouwen te informeren bij wie wel degelijk een ernstig borstprobleem is vastgesteld, zoals bijvoorbeeld een kwaadaardige aandoening, en die goed voorbereid naar hun arts willen stappen.

Behandeling

Bij de behandeling van een borstkanker hoort meteen ook een keuze gemaakt te worden rondom de reconstructie. Er is geen fundamenteler doel van onze Stichting dan deze awareness bij de patiënten en oncologische chirurgen te brengen. Door vooraf een geïnformeerde beslissing te nemen, blazen we geen bruggen op voor een latere reconstructie zonder hierbij het oncologische aspect uit het oog te verliezen. Uiteraard primeert de overleving en zal de beslissing van de oncologische chirurg altijd voorgaan.

Op de pagina "Beslissen" staat alle informatie die u kan verwachten tijdens een eerste consultatie alvorens u de tumor laat verwijderen. Deze pagina is zeer uitgebreid en uw plastisch chirurg zal enkel die informatie vermelden die voor uw persoonlijke situatie toepasbaar is.

"Verwijderen van de tumor" vertelt het verhaal van de operatie zelf. Dit is de belangrijkste operatie want een goede wegname van de tumor is en blijft het belangrijkste. We leiden u door de verschillende vormen van wegname. Deze beslissing wordt vaak voor u genomen door een multidisciplinair team van oncologen, radiologen, pathologen, radiotherapeuten, borstverpleegkundigen, gynaecologen, oncologische chirurgen en plastische chirurgen.

In het deel "Borstreconstructie" staat alle informatie en illustratie van de verschillende soorten reconstructie met bijhorende stappen.

Revalidatie

Wie behandeld is voor kanker heeft vaak een lange periode nodig om te herstellen.

Kanker is een ingrijpende ziekte met een zware behandeling. Vaak kampen mensen nadien met psychosociale en/of lichamelijke problemen zoals stress, angst, extreme vermoeidheid, pijnlijke gewrichten, een verminderde conditie, lymfoedeem… Dit kan een grote invloed hebben op het algemeen welzijn.

Er zijn revalidatieprogramma’s die worden aangeboden door de meeste ziekenhuizen. We behandelen hier een aantal grote thema’s.

Quality of life

De levenskwaliteit is een belangrijke factor bij het omgaan met borstkanker. Daarom is het belangrijk om coping-mechanismen te vinden die werken, en die zullen van patiënt tot patiënt verschillen. Voor sommigen kan dat zijn: plezier vinden in activiteiten die zij voor de diagnose deden, tijd nemen om te genieten, vrijwilligerswerk doen, lichaamsbeweging... Van het grootste belang is dat studies hebben aangetoond dat het accepteren van de ziekte als een deel van iemands leven een sleutel is tot effectieve verwerking, evenals het focussen op mentale kracht om de patiënt in staat te stellen verder te gaan met het leven. In dit gedeelte behandelen we enkele onderwerpen die patiënten tijdens en na de behandeling ervaren en geven we informatie om deze aan te pakken.

Anatomie en Fysiologie

Anatomie is een tak van de wetenschap die de structuur van levende wezens beschrijft. Wij beschrijven hier de normale structuur van de borst om zo een basiskennis te hebben als u bij de arts komt. Ook zal deze basiskennis u helpen sommige aandoeningen en ingrepen van de borst te begrijpen.

Fysiologie is een tak van de wetenschap die dezelfde structuren zal beschrijven maar op celniveau. Omdat de oorzaak van vele problemen begint op celniveau is het belangrijk om ook hier een zekere basiskennis van te hebben.

Anatomie

Het normale uitzicht van een borst

Hoe ziet een normale borst eruit? Bekijk de volgende video van Laura Dodsworth:

Ontwikkeling van de borst

Tijdens de ontwikkeling van de foetus ontstaat eerst de tepel als een gepigmenteerde verhevenheid van de huid op de borstkas links en rechts van het borstbeen. Door een instulping van de tepel vormen zich de melkgangen naar binnen toe. De melkgangenstructuur en de tepel van de borst zijn dus reeds aanwezig vanaf de geboorte.
De klieren ontwikkelen zich tijdens de puberteit onder invloed van hormonen. Tijdens deze periode worden ze ook met meer vetweefsel omgeven. De borst krijgt meer volume en zo ontstaat de ronde welving.
Tijdens de zwangerschap is er door hormoonstimulatie een tijdelijke extra activatie en ontwikkeling van de klieren die melk gaan produceren. Tijdens de menopauze neemt het klierweefsel af in volume, het atrofieert.

Structuur van de borst

Puur anatomisch bekeken is de normaal ontwikkelde vrouwelijke borst een welving op de borstkas op het niveau van de tweede tot de zesde rib. Ze bedekt een groot deel van de grote borstspier.

Ze bestaat uit een inhoud die volume geeft aan de borst en een huidenveloppe. De huidenveloppe is medeverantwoordelijk voor de vorm van de borst.
Belangrijke kenmerken op de ‘top’ van de borst zijn de tepel en het tepelhof. Beiden bevatten pigmenten. Het tepelhof is meestal rond en wat grillig afgeboord. Centraal bevindt zich de tepel en daaromheen vindt men willekeurig verspreide, kleine en bleker gekleurde bultjes die de kliertjes van Montgomery worden genoemd. Zij produceren huidsmeer en kunnen uitzonderlijk aanleiding geven tot een cyste.
De borst van de vrouw is een klierorgaan. Ze wordt gevormd door een 15 à 20-tal kwabbetjes klierweefsel bij elkaar. Elk kwabbetje klierweefsel produceert moedermelk, die via een melkgang wordt verzameld en naar de tepel wordt geleid. Deze kwabbetjes klierweefsel liggen ingebed in vetweefsel en zijn van elkaar gescheiden door vezelachtige vliezen die ook vastzitten op de borstspier en op die manier de hele structuur bij elkaar houden. Die vliezen worden de ligamenten van Cooper genoemd. Samen met de huid, het vetweefsel rond de klieren en de klieren zelf bepalen zij de vorm van de borst.

fig1-du

Fig. 1. Samenstelling van de borst: klierweefsel (blauw), vetweefsel (geel) en bindweefselstrengen (groen) liggen vervat tussen twee bladen van de oppervlakkige fascia, een stevige bindweefsellaag die het hele lichaam omgeeft. Een stevig ligament bepaalt de plaats en vorm van de inframammaire plooi. De borst ligt gescheiden van de onderliggende grote borstspier door middel van een losmazig bindweefselnetwerk.

Doorbloeding van de borst

De borst is een goed doorbloed orgaan. De bloedvoorziening gebeurt via verschillende wegen. De belangrijkste daarvan is de slagader die in de oksel ontspringt, een tweede weg is die via de inwendige borstkasslagaders naast het borstbeen en een derde vertrekt vanuit de slagaders van de ribben.
De afvoer van bloed gebeurt enerzijds via een netwerk van aders dat een vergelijkbaar patroon volgt als de slagaders en anderzijds via een uitgebreid en complex systeem van oppervlakkige aders die net onder de huid lopen. Veel van deze vaten zijn vaak met het blote oog te zien.

fig2 Du

fig2b3

Links: doorbloeding van de borst: slagaders (rood) en aders (blauw) zorgen voor een uitgebreid netwerk van bloedvaten.

Rechts: typisch vertoon van de oppervlakkige venen in de borst.

Lymfedrainage

De lymfedrainage van de borst is een al even uitgebreid netwerk en speelt een belangrijke rol bij borstkanker. Een groot deel van de lymfe wordt gedraineerd via de zijkant naar de lymfeknopen van de oksel (+/- 20 à 30 “axillaire” lymfeknopen). Iets minder wordt gedraineerd naar het midden toe, naar de lymfeknopen die vlak naast en iets dieper dan het borstbeen liggen (parasternale klieren). Het netwerk tussen beide lymfeknoopregio’s staat met elkaar in verbinding over de borst. Van hieruit vloeit de lymfe naar lymfeknopen onder het sleutelbeen en naar de basis van de hals. Daar bestaat een directe verbinding met de grote venen die teruglopen naar het hart. In sommige gevallen maar eerder zeldzaam is er ook rechtstreekse drainage naar het mediastinum, de lever, de parasternale klieren en oksel van de andere zijde en langsheen de ribben.

fig3

Fig. 3 Lymfedrainage van de borst: Via een complex netwerk in de borst en het onderhuidse weefsel wordt lymfevocht afgevoerd naar de axilla en de parasternale knopen (lymfeknopen langs het borstbeen).

Bezenuwing

De gevoeligheid van de borst wordt verzekerd door verschillende huidzenuwen die horizontaal lopen, van opzij naar het midden van de borstkas toe, telkens tussen twee ribben in. Vanuit de tussenribruimtes 2 tot 6 geven zij zowel aan de buitenzijde als de binnenzijde (net langs het borstbeen) van de borst sensibele takjes af die de borstklier en de overliggende huid binnendringen.

Vooral de zenuw op het niveau tussen de vierde en vijfde rib is belangrijk. Deze zorgt voor de erogene gevoeligheid van de tepel en het tepelhof. Bij prikkeling hiervan zal een onderhuids spiertje onder het tepelhof samentrekken en zo de tepel doen verstijven. De bovenste gedeelten van de borst worden bezenuwd door oppervlakkige zenuwen die afdalen vanuit de halsbasis.

fig49

Fig. 4 Sensibele zenuwen van de borst: de belangrijkste zenuwen volgen de intercostale ruimten II tot V, zowel langs het sternum als vanuit de flanken. De IVde laterale intercostale zenuw is de belangrijkste zenuw voor de tepel en het tepelhof, alsook voor de erogene gevoeligheid.

Fysiologie van de borst

Tijdens de puberteit

De borst is een klier die zowel bij de man als bij de vrouw is aangelegd. Bij de man is klierweefsel slechts beperkt ontwikkeld. Het bevindt zich onder het gebied van de tepel en het tepelhof. Bij een meisje voor de puberteit is het klierweefsel dan ook beperkt ontwikkeld. Tijdens de puberteit neemt het volume van de borstklier sterk toe. De puberteit neemt bij het meisje 4 tot 5 jaar in beslag en verloopt meestal volgens een herkenbaar patroon. Eerst is er de versnelde groei van het meisje. Dit wordt de groeispurt genoemd. Vervolgens ziet men vrij vroeg een geringe welving van de borst ontstaan. Het tepelhof neemt toe in diameter. Het tepelhof met de tepel vormen een extra reliëf ten opzichte van de borst. Gemiddeld is het meisje dan iets minder dan 10 jaar oud.


Ongeveer negen maanden later ontwikkelt het eerste haar ter hoogte van de schaamstreek. Het haar ter hoogte van de oksel ontstaat meestal nog eens twee jaar later. De eerste menstruele bloeding ontstaat gemiddeld rond de leeftijd van 12,8 jaar. Er is wel een duidelijke spreiding qua leeftijd waarop de eerste maandelijkse bloeding optreedt. Het kan reeds rond de leeftijd van negen jaar optreden. Bepaalde meisjes kunnen pas op 17 jaar hun eerste bloeding doormaken.


Na de eerste welving van de borstklier zal de borst in volume toenemen. De verandering in vorm en volume van de borst is te wijten aan een toename van de klierbuisjes, het vetweefsel en het steunweefsel van de borst. Wanneer het tepelhof dezelfde contour van de borst volgt is de borstklier volledig ontwikkeld. Dit is meestal rond de leeftijd van 14 tot 15 jaar.


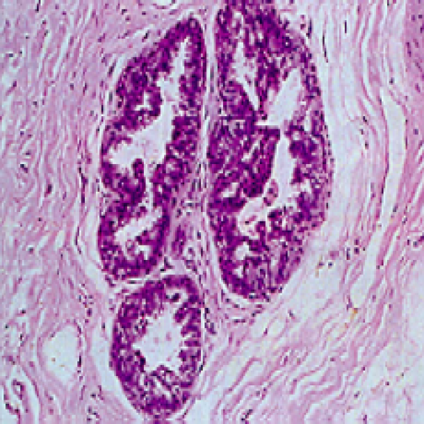
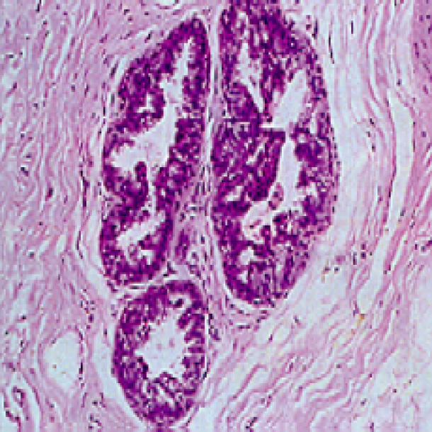
Na de puberteit wordt het systeem van melkgangen uitgebreid. Tijdens iedere menstruele cyclus zal het aantal kanaaltjes toenemen. Daarnaast gaan deze kanaaltjes zich ook verder gaan vertakken. Als men een kanaaltje doorsnijdt en men gaat het kanaaltje bekijken onder een microscoop (fig. 1) dan ziet men dat zo’n kanaaltje een hol buisje is omgeven door cellen die mooi naast elkaar gerangschikt liggen. Deze cellen worden epitheelcellen genoemd. Rond deze cellen bevinden zich gladde spiercellen. Daarrond is er een dun vliesje (fig. 2).

pa-sm-histo-milk

Figuur 1 Dwarsdoorsnede van een borstkanaal, gezien onder een microscoop

pa-lg-schematic-milk

Figuur 2 Schematische voorstelling van het melkkanaal: lumen of centrale holte (1), epitheelcellen (2), gladde spiercellen (3), dun membraan of basaal membraan (4).

De invloed van een zwangerschap op de borst

Onder invloed van de zwangerschap gaat het borstweefsel duidelijk in volume toenemen. Door een te snelle algemene gewichtstoename kan ook een te snelle volumetoename van de borst ontstaan. Hierdoor kunnen ter hoogte van de huid van de borst striemen ontstaan. Op het niveau van de klierbuisjes ontstaan er meer vertakkingen. Bovendien neemt het aantal borstcellen in de klierbuisjes toe. In de borstcellen ontstaat geleidelijk opstapeling van colostrum. Dit colostrum zal worden vrijgesteld na de bevalling. Dit vocht bevat veel eiwit. Na één tot drie weken wordt de afgifte van colostrum vervangen door de afgifte van de normale moedermelk.


Wanneer uiteindelijk wordt gestopt met borstvoeding zal het aantal cellen in de kierbuisjes verminderen. De klierbuisjes worden dunner en kleiner. Toch blijft er na iedere zwangerschap meer klierweefsel over dan voor de zwangerschap.
Des te korter de periode tussen de eerste maandstonden en de eerste voldragen zwangerschap des te kleiner te kans op borstkanker wordt. Het juiste mechanisme van de gunstige invloed van zwangerschap (voor de leeftijd van 30 jaar) op de borstklier is nog niet gekend. Hoogst waarschijnlijk worden bijna alle cellen in de klierbuisjes onder invloed van een zwangerschap gespecialiseerd in de productie van melk. Hierdoor blijven er minder cellen over die instaan voor celdeling en aanleg van nieuwe cellen. Hoewel deze laatste cellen nodig zijn voor vernieuwing van de borstcellen, zijn zij ook gevoelig voor ontsporing naar kanker. Hoe beperkter hun aantal hoe geringer de kans op borstkanker. Na de zwangerschap en/of na het stoppen van de borstvoeding, zal de borstklier terug naar haar normaal volume terugkeren.


Het nemen van anticonceptie of het dragen van een intra uterien hormoonspiraaltje zal de kans op borstkanker niet beïnvloeden. Het nemen van anticonceptie zal bij een normaal menstruerende vrouw vrijwel geen invloed hebben op het uitwendig aspect van de borst. Zeker wanneer een laag gedoseerde orale contraceptie wordt ingenomen. Bij vrouwen met veel premenstruele borstspanning kan de pil zelfs een verbetering geven van de klachten.

Borstchirurgie

Er zijn steeds meer jonge vrouwen die een correctieve ingreep van de borsten overwegen. Daarenboven dient rekening gehouden te worden dat ten gevolge van het ontwikkelen van laattijdige complicaties bij deze patiënten en het natuurlijk proces van veroudering, een of meerdere heringrepen noodzakelijk zullen zijn (tot 20% van de vrouwen binnen enkele jaren).

Het aantal borstoperaties stijgt dus voortdurend. Ook bevindt een groot aantal van deze vrouwen zich in de vruchtbare fase van hun leven, wat inhoudt dat de kans groot is dat zij na een dergelijke ingreep zwanger zullen worden en nog kinderen zullen krijgen. Een operatie laat altijd littekens na en dit heeft gevolgen voor de mogelijkheid om borstvoeding te geven na de bevalling.

Steeds zal de operatie vooraf worden besproken, waarbij de littekens, het gevoel in de borst en tepel na de operatie en de gevolgen voor een eventuele zwangerschap en lactatie aan de orde komen. Bij jonge vrouwen kan, indien er een zwangerschaps- en lactatiewens is, de techniek mogelijk worden aangepast. Eventueel kan zelfs worden aangeraden, indien de operatie te veel nadelige gevolgen heeft, dit uit te stellen.
Over het algemeen kan men stellen dat het geven van borstvoeding nog mogelijk is na een correctieve of esthetische ingreep van de borst. Duidelijk is wel dat het slagen hiervan mede afhankelijk is van het soort ingreep. Hoe zwaarder de ingreep met meer littekens, hoe kleiner de kans. Na meerdere operaties wordt de kans steeds kleiner, vooral als het gevoel in de borst en in tepel/tepelhof afwezig is.

Hieronder wordt per ingreep weergegeven wat vandaag geweten is over postoperatieve borstvoeding.

1. Borstvergroting

Bij deze ingreep wordt een siliconen prothese gebruikt om het volume van de borst te vergroten. De prothese kan voor of achter de borstspier worden geplaatst. De meeste vrouwen kunnen na een borstvergroting borstvoeding geven. Theoretisch zou men kunnen verwachten dat vrouwen met zeer kleine borsten minder melkproductie hebben dan vrouwen met normale of grote borsten, simpelweg door de hoeveelheid borstklierweefsel. Problemen zijn wel te verwachten als het litteken rond het tepelhof is gemaakt. Bij deze benadering kunnen zenuwen en melkkanalen zijn doorgesneden, met negatieve gevolgen voor de lactatie. Het gevoel in de tepel kan dan ook verminderd zijn. Bij een borstvergroting waar een prothese met een groot volume is geplaatst (en vooral bij plaatsing voor de borstspier) kan de prothese zoveel druk geven op het borstweefsel dat dit gaat verlittekenen en krimpen met nadelige gevolgen op de lactatie.


Vaak maken vrouwen die een borstvergroting hebben ondergaan met siliconen prothesen zich zorgen dat de siliconen in de moedermelk zouden komen, echter onderzoek heeft aangetoond dat dit niet het geval is. Na een borstvergroting kan kapselvorming rond de prothese optreden. Als dit zeer extreem is, is een nieuwe operatie nodig, met meer littekenvorming en beschadiging van het borstweefsel en dus met nadelig effect op de lactatie in de toekomst.
In patiënten bij wie lipofilling (vetinjecties) gebruikt wordt om een gedeelte van- of het volledige volume van de borst te vergroten, wordt het vet ingespoten achter de klier en tussen de huid en het klierweefsel. Op die manier wordt er aan de klier zelf niet geraakt en zal er dus ook geen interferentie zijn bij borstvoeding.

2. Borstverkleining

Deze ingreep wordt uitgevoerd bij vrouwen die naar verhouding voor hun lichaamsbouw te grote borsten hebben met duidelijk functionele klachten (rug-, nek- en schouderklachten). Er bestaan verschillende technieken voor deze operatie, maar in het algemeen kan men stellen dat tepel en tepelhof naar boven worden verplaatst en dat borstweefsel wordt weggesneden aan de onderzijde en/of centraal in de borst. De littekens liggen rondom de tepelhof, verticaal naar beneden onder het tepelhof en meestal ook horizontaal in de plooi onder de borst.
Ook na een borstverkleining lukt het in de meeste gevallen om borstvoeding te geven, maar dit is afhankelijk van de gebruikte operatietechniek. Vroeger werden vaak meer grove technieken gebruikt, waarbij de zenuwen van de borst en de melkkanalen grotendeels blijvend werden beschadigd. Bij vrouwen die lang geleden werden geopereerd, was borstvoeding nadien meestal niet meer mogelijk. Tegenwoordig zijn de technieken verfijnder met minder beschadiging tot gevolg. Er zijn wel meer problemen te verwachten dan na bijv. een borstvergroting. De duur is vaak korter dan bij niet-geopereerde vrouwen. Het is mogelijk dat de hoeveelheid voeding niet voldoende is voor de baby zodat flesvoeding moet worden bijgegeven. Problemen zijn vooral te verwachten bij vrouwen waarbij tijdens de operatie veel borstweefsel is weggenomen en waar na de operatie een verminderd of geen gevoel van de tepel meer is. Ook vrouwen die een wondinfectie postoperatief hadden, hebben soms meer littekenvorming in de borst met nadelige gevolgen. Sommige vrouwen die een borstverkleining ondergingen, durven geen borstvoeding te geven omdat zij bang zijn dat dit een nadelig effect zal hebben op de vorm van de borst, maar dit is onterecht.

3. Borstlifting

Bij de borstlift worden de borsten in principe niet verkleind, maar worden tepel en tepelhof teruggebracht naar de “normale” positie. Technisch gebeurt dit door alleen huidteveel van de borst te verwijderen en de borst te hermodelleren. Vaak zijn de borsten verslapt ten gevolge van het verouderingsproces of na eventuele zwangerschappen en/of gewichtsverlies. Veel van deze vrouwen zijn de leeftijd van borstvoeding voorbij en speelt de mogelijkheid tot lactatie meestal geen rol meer, maar over het algemeen wordt het borstweefsel en tepelcomplex bij deze ingreep minder beschadigd dan bij een borstverkleining en is borstvoeding nog mogelijk nadien.

4. Correctie bij aangeboren borstafwijkingen

Soms kan de borst door een ontwikkelingsstoornis tijdens de zwangerschap onvoldoende of niet aangelegd zijn. De precieze oorzaak hiervan is niet duidelijk. In een extreem geval kan de borst helemaal niet gevormd zijn. Ook kan de borst buisvormig van vorm zijn, dit kan eenzijdig, maar ook tweezijdig voorkomen. (zie ook: Ontwikkelingsstoornissen van de borst). Om psychologische redenen is correctie zeer gewenst en dit wordt vaak al op jongere leeftijd gestart (rond de puberteit). Het geven van borstvoeding met de misvormde borst geeft meestal problemen en is soms helemaal onmogelijk. Er is te weinig of geen borstweefsel aangelegd en door operatie kan dit verder beschadigen met nadelige gevolgen. Indien de andere borst normaal is aangelegd, zal na de bevalling de lactatie hier wel op gang komen.

5. Borstreconstructie

De term borstreconstructie wordt gebruikt bij vrouwen die borstkanker hebben gehad, waarbij een deel of de gehele borst is verwijderd en die een reconstructie van de borst wensen of ondergaan hebben. Het moge logisch zijn dat borstvoeding geven nadien niet mogelijk is. Tevens betekent elke nieuwe zwangerschap en borstvoeding bij borstkankerpatiënten een verhoging van de vrouwelijke hormonen in het bloed met als gevolg een stijging van het risico voor het ontwikkelen van nieuwe tumoren, recidieven en metastasen.

 


De invloed van de menopauze en hormoonsubstitutie op de borst

De menopauze treedt gemiddeld op rond de leeftijd van 52 jaar. Vanaf dan worden vrijwel geen geslachtshormonen meer gevormd door de eierstok. Door het wegvallen van de hormonale stimulatie zal het klierweefsel in de borst afnemen. Door het wegvallen van de hormonen kunnen er bij de vrouw problemen ontstaan. Men onderscheidt problemen op korte en lange termijn.


De meest herkenbare problemen op korte termijn zijn de vasomotorische klachten. Bij zestig procent van de vrouwen ontstaan warmteopwellingen, problemen met prikkelbaarheid, slecht slapen. Deze klachten kunnen sociaal zeer handicaperend zijn. Op lange termijn kan door het wegvallen van de hormoonproductie botontkalking of osteoporose ontstaan. Hierdoor ontstaan op latere leeftijd vaak breuken ter hoogte van de wervels, heupen of polsen. Tevens worden de huid, de vaginale bekleding dun en broos. Dit laatste kan de oorzaak zijn van pijn bij geslachtsgemeenschap. Door het dunner worden van de urineblaasbekleding door hormoon tekort kan ongewild urineverlies optreden. Ook is er een duidelijk verband tussen het wegvallen van de hormonen en het optreden van dementie.


Ter hoogte van de borstklieren zal het wegvallen van de geslachtshormonen een regressie van het klierweefsel voor gevolg hebben. Het aantal primitieve klierbuisjes neemt weer toe, terwijl de sterk vertakte klierbuisjes duidelijk verminderen in aantal. Vaak ontstaat een verslapping van de borst. Andere vrouwen kunnen in de menopauze duidelijk in gewicht toenemen. Het vetweefsel stapelt zich vooral op ter hoogte van de buikwand. Ook ziet men bij toename van het lichaamsgewicht vaak eveneens toename van het borstvolume.
Vrouwen met menopauzale klachten (warmteopwellingen, transpireren, slechte nachtrust, prikkelbaarheid) kunnen opteren om hormonen te nemen. Het innemen van hormonen vergt een deskundige begeleiding. Wanneer deze behandeling correct wordt voorgeschreven zal ze de levenskwaliteit duidelijk verbeteren. Het meest doeltreffende hormoon om die klachten te behandelen is het oestrogeen. Indien men echter enkel het oestrogeen inneemt zal dit ook de binnenwand van de baarmoeder stimuleren. Dit kan leiden tot bloedverlies en bij langdurige inname tot verhoogde kans op baarmoederkanker. Als men aan het oestrogeen een progestatief hormoon toevoegt kan men baarmoederbloeding en baarmoederkanker volledig vermijden. De kans op baarmoederkanker wordt dan zelfs lager dan bij vrouwen die geen hormonen innemen. Het nadeel van het dagelijks combineren van hoog gedoseerde oestrogenen en progestativa, gedurende een periode langer dan vijf jaar, is dan weer dat er een lichte toename is van borstkanker. Dit komt vooral voor bij het innemen van synthetische hormonen. Deze toename aan borstkanker is te wijten aan het progestatief. Inderdaad, uit placebo gecontroleerde gerandomiseerde studies blijkt dat oestrogenen alleen geen verhoging geven op de kans op borstkanker. Anderzijds tonen grote Europese studies dat een combinatie van natuurlijk oestrogeen met een natuurlijk progestatief veilig is voor de borst, en dit zelfs na tien jaar inname. Een andere manier om de inname van een synthetisch progestatief te vermijden is het gebruik van een hormoonspiraal.  Met een progestatief bevattend spiraal kan men de binnenwand van de baarmoeder volledig tot rust brengen bij vrouwen die ‘oestrogenen alleen’ nemen. Dit spiraaltje kan vijf jaar ter plaatse in de baarmoeder blijven. Het kan op een routineraadpleging worden geplaatst. Aldus vermijdt men dat het progestatief moet worden ingenomen via de mond. Daardoor komt geen hoge dosis progestatief meer vrij in het lichaam en meteen vermijdt men de verhoogde kans op borstkanker. Ook zijn er recente gegevens over de invloed op de borst van andere preparaten. Deze lijken veelbelovend te zijn. Het is dus belangrijk contact op te nemen met uw arts om individueel voor iedere vrouw de juiste behandeling te kiezen.


Vermelden we voor de volledigheid dat aanpassen van de levensstijl in de menopauze zeer belangrijk is. Sporten, matigen van alcoholinname tot één glas per dag, vermageren ... zullen ook de kans op borstkanker substantieel verminderen. Essentieel is ook om tenminste om de twee jaar een mammografie te laten verrichten, of men nu hormonen neemt of niet. Voor het starten met hormonen is het belangrijk de laatste gegevens met uw arts te bespreken.